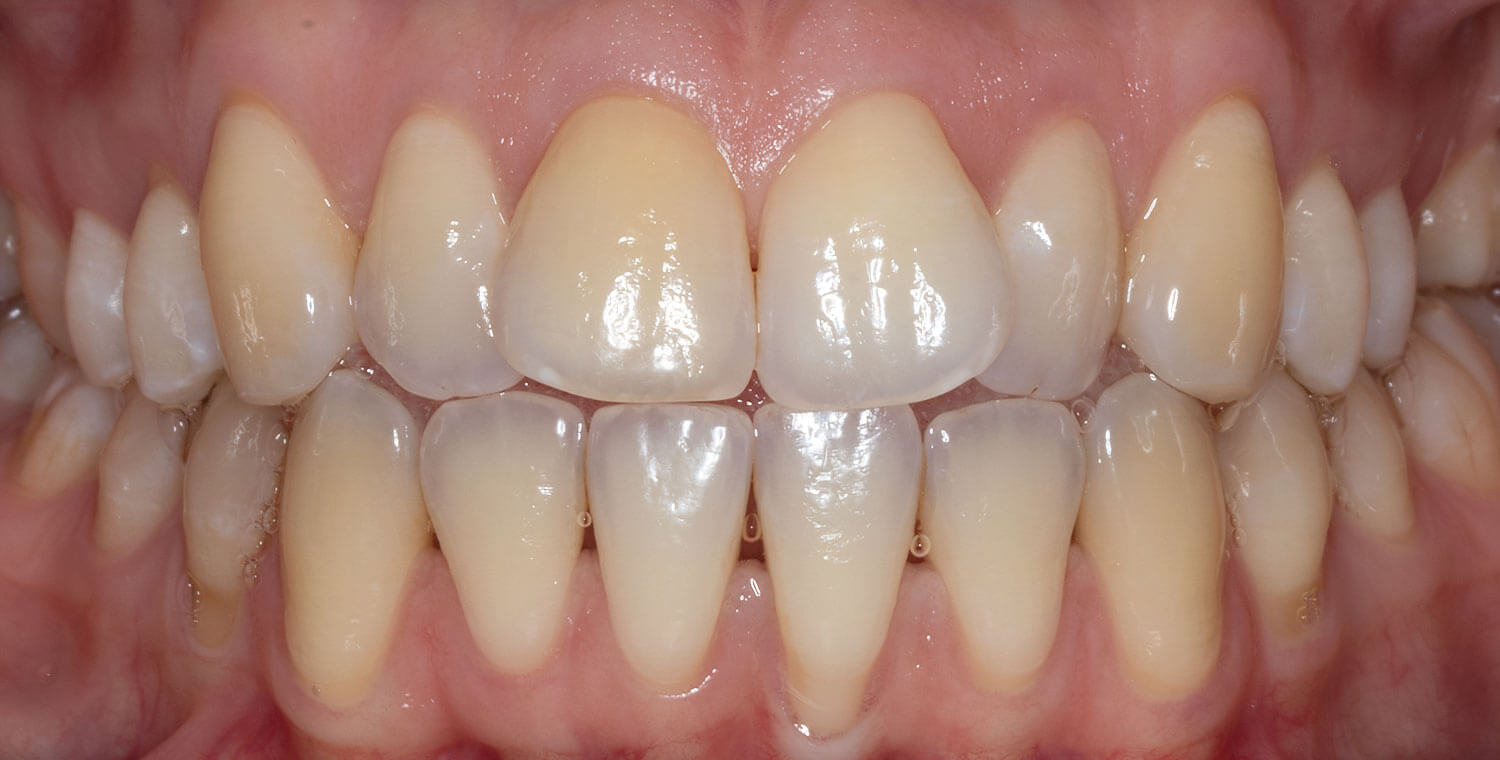
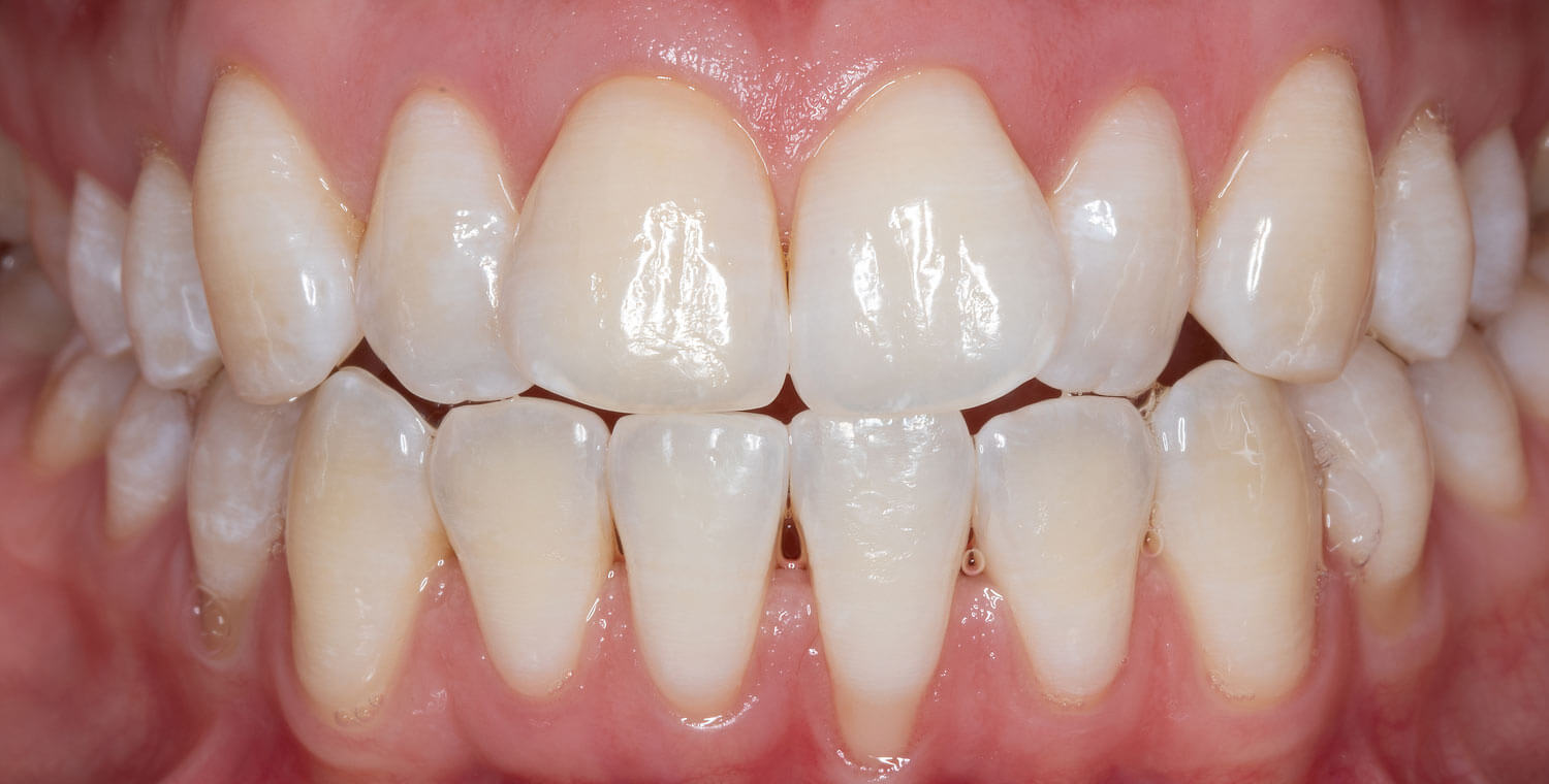
Bleaching
Das Nachdunkeln unserer Zähne im Laufe des Lebens ist ein ganz natürlicher Prozess. Durch unser schonendes Bleaching-Verfahren kann dem jedoch entgegengewirkt und die Aufhellung Ihrer Zähne um mehrere Farbstufen ermöglicht werden.
Vorher - Nachher
Veneers
Als Veneers (engl. Abdeckung) bezeichnet man hauchdünne, lichtdurchlässige Verblendschalen aus Hochleistungskeramik. Sie sind sehr belastbar, verfärben sich nicht und besitzen eine hohe Verträglichkeit.
Implantologie
Ein fehlender Zahn hinterlässt nicht nur eine Lücke – auch kann er die Funktion des gesamten Gebisses nachhaltig verändern und stören. Mit Implantaten lassen sich Zahnlücken auf besonders schonende und langlebige Weise wieder schließen.
Kompositfüllungen
Sehr gut in mechanischer und chemischer Hinsicht halten diese Füllungen hohe Kaudrücke aus – sind also sehr belastbar und mundverträglich. Kompositfüllungen sind eine hervorragende Alternative zu Amalgam.
Kronen
Kronen eignen sich zur Versorgung von Zähnen, die starke Defekte aufweisen. Die Krone schützt die noch intakte Zahnsubstanz und ermöglicht es, den Zahn langfristig zu erhalten. Der Einsatz von hochmoderner Keramik trägt zu einem natürlichen Erscheinungsbild bei.



